NGÏàÐÅÆ·ÅƵÄÁ¦Á¿¹ÙÍø

English NGÏàÐÅÆ·ÅƵÄÁ¦Á¿¹ÙÍø¼¯ÍÅÆóÒµÓÊÏä

µÚÈý½Ú ÉÕÉËʪÐÔÒ½ÁÆÊÖÒÕ¶ÔÉÕÉËÈ«ºñƤ£¨ÕæÆ¤£©»µËÀ´´ÃæÆ¤·ô ÐÄÀíÔÙÉúµÄ×é֯ѧÊӲ졪µä·¶²¡ÀýÏÈÈÝ

×÷ÕߣºÖйúÖÐÎ÷ҽ͎áѧ»áÉÕÉËרҵίԱ»á ³öÊéÉ磺ÖйúÒ½Ò©¿Æ¼¼³öÊéÉç ¿¯ÐÐÈÕÆÚ£º2000Äê6ÔÂ

»¼ÕßÀî¡Á¡Á Å®20Ëê ÆûÓÍÉÕÉË35%TBSA£¨Éî¢ò¶ÈÉîÐÍ15% dz¢ó¶È20%£© ¡£¡£¡£¡£¡£¡£ ¡£¡£

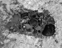
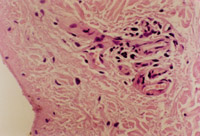
É˺ó12h¼±ÕïÈëÔº£¬£¬ £¬£¬£¬£¬£¬£¬¼ì²éË«ÏÂ֫Ϊdz¢ó¶ÈÉÕÉË ¡£¡£¡£¡£¡£¡£ ¡£¡£´´Ãæ±íƤÒÑ»µËÀ°þÍÑ£¬£¬ £¬£¬£¬£¬£¬£¬ÕæÆ¤²ã±äÐÔ»µËÀ³ÊÀ¯»ÆÉ«ºÍÀ¯°×É«Ïà¼ä£¨Í¼5-3-1£© ¡£¡£¡£¡£¡£¡£ ¡£¡£È¡¾Ö²¿×éÖ¯×ö²¡ÀíÇÐÆ¬¼ì²é£¬£¬ £¬£¬£¬£¬£¬£¬ÏÔʾÉÏÆ¤×é֯ȫ²ã»µËÀ£¬£¬ £¬£¬£¬£¬£¬£¬ÕæÆ¤²ã½ºÔ­ÏËά±äÐÔ£¬£¬ £¬£¬£¬£¬£¬£¬½á¹¹ÔÓÂÒ£¬£¬ £¬£¬£¬£¬£¬£¬Î¢Ñ­»·ðöÖÍ£¨Í¼5-3-2£© ¡£¡£¡£¡£¡£¡£ ¡£¡£

ÈëÔººóÁ¬Ã¦ÓÃMEBOÍâÍ¿±£»£»£»£»£»£»¤´´Ã棬£¬ £¬£¬£¬£¬£¬£¬²¢Ðиû×÷¼õÕÅ´¦Öóͷ£ ¡£¡£¡£¡£¡£¡£ ¡£¡£É˺ó48h²¿·Ö´´Ãæ×îÏÈÒº»¯£¬£¬ £¬£¬£¬£¬£¬£¬É˺ó4Ìì´´Ãæ»µËÀ×éÖ¯ÒÑËùÓÐ×îÏÈÒº»¯£¨Í¼5-3-3£© ¡£¡£¡£¡£¡£¡£ ¡£¡£Ã¿3¡«4hɨ³ý´´ÃæÒº»¯ÎïÒ»´Î²¢ÍâÍ¿MEBO ¡£¡£¡£¡£¡£¡£ ¡£¡£

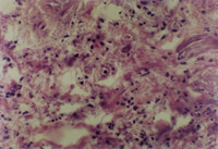
ԭλÇÐÈ¡´´Ãæ×éÖ¯²¡ÀíÇÐÆ¬¼ì²é£¬£¬ £¬£¬£¬£¬£¬£¬¼û»µËÀÉÏÆ¤×éÖ¯¼äÓдó×Ú¿ÅÁ£Ñù×éÖ¯£¬£¬ £¬£¬£¬£¬£¬£¬ÐÂÉúÉÏÆ¤Ï¸°ûºÍ½ºÔ­ÏËά×éÖ¯³ÊÍÅÑùÔöÉú£¬£¬ £¬£¬£¬£¬£¬£¬²¢¿É¼ûµ½µä·¶µÄÀàËÆÓÚÌ¥¶ùƤ·ô½á¹¹µÄƤ·ôÅßÌ¥»ù(embryonic base,EB)(ͼ5-3-4a,5-3-4b) ¡£¡£¡£¡£¡£¡£ ¡£¡£MEBTÖÎÁÆ10Ììºó£¬£¬ £¬£¬£¬£¬£¬£¬ÔÚ´´Ãæ±ßÑØÈ¡ÉÏÆ¤×éÖ¯²¡ÀíÇÐÆ¬¿É¼ûµ½½ÏԭʼµÄÉÏÆ¤×éÖ¯ ¡£¡£¡£¡£¡£¡£ ¡£¡£

MEBTÖÎÁÆ20Ì죬£¬ £¬£¬£¬£¬£¬£¬Éî¶È´´Ãæ´¦×éÖ¯ÇÐÆ¬¿É¼ûÐÂÉú½ÏÍêÕûµÄ¸´²ãÁÛ×´ÉÏÆ¤×éÖ¯£¬£¬ £¬£¬£¬£¬£¬£¬±íƤ²ãϸ°ûÐÎ̬ÒѾ­Ç÷ÓÚÕý³££¬£¬ £¬£¬£¬£¬£¬£¬ÕæÆ¤²ã½ºÔ­ÏËάϸ°ûºÍ΢Ѫ¹ÜÐÎ̬ÒѾ­·ºÆð ¡£¡£¡£¡£¡£¡£ ¡£¡£

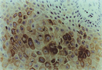
ÖÎÁÆ30Ììºó£¬£¬ £¬£¬£¬£¬£¬£¬´´ÃæÉÏÆ¤×éÖ¯ÔÙÉúÐÞ¸´ÓÅÒ죨ͼ5-3-5£©£¬£¬ £¬£¬£¬£¬£¬£¬Æ¤·ô½á¹¹ÒѾ­»ù±¾Õý³££¨Í¼5-3-6£© ¡£¡£¡£¡£¡£¡£ ¡£¡£

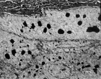
1. ×éÖ¯»¯Ñ§¼°ÃâÒß×éÖ¯»¯Ñ§È¾É«¼ì²é MEBT/MEBOÖÎÁÆ20Ììºó´´Ãæ×éÖ¯»¯Ñ§È¾É«£¬£¬ £¬£¬£¬£¬£¬£¬ÉÏÆ¤×éÖ¯ºÍƤÏÂ×éÖ¯ÖнºÔ­ÏËάÇåÎú¿É¼û ¡£¡£¡£¡£¡£¡£ ¡£¡£

ÊÈÒøÈ¾É«£¬£¬ £¬£¬£¬£¬£¬£¬ÏÔÊ¾Íø×´ÏËάÔÙÉúÑÄÔ¾ ¡£¡£¡£¡£¡£¡£ ¡£¡£Æ¤ÏÂ×é֯СѪ¹ÜÖÜÎ§Íø×´ÏËά×éÖ¯½ÏÁ¿Õý³£ ¡£¡£¡£¡£¡£¡£ ¡£¡£»£»£»£»£»£»ùµ×²ã»îÔ¾ÔÙÉú£¨Í¼5-3-7¡«5-3-8£© ¡£¡£¡£¡£¡£¡£ ¡£¡£

MEBT/MEBOÖÎÁÆ30Ììºó£¬£¬ £¬£¬£¬£¬£¬£¬ÔÙÉúÐÞ¸´µÄÉÏÆ¤×éÖ¯¾ÙÐÐϸ°û½ÇÖÊËØAE3¼ì²éΪÑôÐÔ£¬£¬ £¬£¬£¬£¬£¬£¬±íƤ¿ÅÁ£²ãϸ°ûÖʳÊ×ØÉ«È¾É«£¬£¬ £¬£¬£¬£¬£¬£¬Ï¸°ûºË³ÊÀ¶É«£¨Í¼5-3-9¡«5-3-6£©£¬£¬ £¬£¬£¬£¬£¬£¬Ö¤ÊµÎª×ÔÉíÔÙÉúµÄ¸´²ãÁÛ×´ÉÏÆ¤ ¡£¡£¡£¡£¡£¡£ ¡£¡£

AE1ȾɫÏÙÉÏÆ¤ÂѰ×ÒõÐÔ ¡£¡£¡£¡£¡£¡£ ¡£¡£´ËÕ÷Ïó˼Á¿Îªº¹ÏÙÉÏÆ¤Ï¸°ûÒÑת»¯Îª±íƤ¸Éϸ°û£¨Í¼5-3-11£© ¡£¡£¡£¡£¡£¡£ ¡£¡£

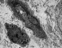
2. µç¾µÊÓ²ì ÊÜÉ˵±ÈÕÉÏÆ¤×éÖ¯±äÐÔ»µËÀ£¬£¬ £¬£¬£¬£¬£¬£¬¿É¼ûµ¥ºËϸ°ûºËÆ«ÒÆ¡¢¹ÌËõ£¬£¬ £¬£¬£¬£¬£¬£¬²¢ÓÐÍÌÊÉÕ÷Ïó£¨Í¼5-3-12£© ¡£¡£¡£¡£¡£¡£ ¡£¡£

¾­MEBT/MEBOÖÎÁÆ5Ì죬£¬ £¬£¬£¬£¬£¬£¬¿É¼û´´ÃæÏËάϸ°û£¬£¬ £¬£¬£¬£¬£¬£¬³ÉÏËάϸ°ûÉú³¤½ÏÁ¿»îÔ¾£¨Í¼5-3-13£© ¡£¡£¡£¡£¡£¡£ ¡£¡£

¾­MEBT/MEBOÖÎÁÆ10Ì죬£¬ £¬£¬£¬£¬£¬£¬´´Ãæ×éÖ¯ÇÐÆ¬¿É¼û±íƤ¼¬²ã¼¬Ï¸°û·ºÆð²¢ÓÐÇÅÁ£ÅþÁ¬£¨Í¼5-3-14¡«5-3-15£© ¡£¡£¡£¡£¡£¡£ ¡£¡£¿ £¿£¿£¿£¿£¿ÅÁ£²ã¿ÅÁ£Ï¸°û·ºÆð ¡£¡£¡£¡£¡£¡£ ¡£¡£ÔÚ»ùÄÚÇé°û²ã¿É¼ûÐþÉ«ËØÐ¡Ì壨ͼ5-3-6¡«5-3-17£© ¡£¡£¡£¡£¡£¡£ ¡£¡£²¢¿É¼ûСѪ¹ÜÖÜΧµÄÍÌÊÉϸ°ûÓÐÍÌÊÉÕ÷Ïó£¨Í¼5-3-18£©£¬£¬ £¬£¬£¬£¬£¬£¬ËµÃ÷Æä¹¦Ð§Ò²ÒѾ­ÔÚ»Ö¸´ ¡£¡£¡£¡£¡£¡£ ¡£¡£

¾­MEBT/MEBOÖÎÁÆ20Ì죬£¬ £¬£¬£¬£¬£¬£¬µç¾µÊӲ쵽»ùÄÚÇé°û²ãÓëÏËάĸϸ°ûÖ®¼äµÄ°ëÇÅÁ£ÅþÁ¬£¬£¬ £¬£¬£¬£¬£¬£¬Í¬Ê±¿É¼ûÏËάĸϸ°ûÄÚ´ÖÃæÄÚÖÊÍø½á¹¹ºÍÏßÁ£ÌåÔöÉúÑÄÔ¾£¨Í¼5-3-19¡«5-3-21£© ¡£¡£¡£¡£¡£¡£ ¡£¡£ MEBT/MEBOÖÎÁÆ30Ììºó£¬£¬ £¬£¬£¬£¬£¬£¬ÉÏÆ¤×éÖ¯ÔÙÉúÐÞ¸´£¬£¬ £¬£¬£¬£¬£¬£¬ÒÑ»ù±¾Íê³É£¬£¬ £¬£¬£¬£¬£¬£¬´´Ãæ×éÖ¯ÇÐÆ¬ÏÔʾ½ºÔ­ÏËά³ÉÊ죬£¬ £¬£¬£¬£¬£¬£¬ÅÅÁÐÕûÆë£¨Í¼5-3-22£©£¬£¬ £¬£¬£¬£¬£¬£¬Ö±¾¶Îª0.1¡«0.5µm£¬£¬ £¬£¬£¬£¬£¬£¬²¢¿É¼ûÃ÷°µÏà¼äÖÜÆÚÐÔºáÎÆ£¨64nm£©£¬£¬ £¬£¬£¬£¬£¬£¬Î´¼ûµ½½ºÔ­ÏËάŤÇúºÍ³ÊÐýÎС¢²Ë»¨µÈ²¡ÀíÐÎ̬ ¡£¡£¡£¡£¡£¡£ ¡£¡£

´´ÃæÓúºÏºóÏÂÖ«¹¦Ð§Ä¥Á¶£¬£¬ £¬£¬£¬£¬£¬£¬´´Ãæ¼ÌÐøÍâÓÃMEBO×÷Èó·ôÓÍʹÓà ¡£¡£¡£¡£¡£¡£ ¡£¡£É˺ó45ÌìȬÓú³öÔº ¡£¡£¡£¡£¡£¡£ ¡£¡£

         

5-3-1 Àîij Å® 20Ë꣬£¬ £¬£¬£¬£¬£¬£¬ÆûÓÍÉÕÉË35%TBSA £¨Éî¢ò¡ãÉîÐÍ15%£¬£¬ £¬£¬£¬£¬£¬£¬Ç³¢ó¡ã20%£©

         

5-3-2 ÉÏÆ¤×é֯ȫ²ã»µËÀ£¬£¬ £¬£¬£¬£¬£¬£¬½ºÔ­ÏËά±äÐÔ£¬£¬ £¬£¬£¬£¬£¬£¬Î¢Ñ­»·ðöÖÍ HE¡Á20

         

5-3-3 É˺ó4Ì죬£¬ £¬£¬£¬£¬£¬£¬´´ÃæÔÚMEBO×÷ÓÃϽøÈëÒº»¯ÆÚ£¬£¬ £¬£¬£¬£¬£¬£¬´´ÃæÆ¤·ô×éÖ¯×îÏÈÔÙÉú

         

5-3-4a ÐÂÉúÉÏÆ¤×éÖ¯ºÍ½ºÔ­ÏËάÔöÉú£¬£¬ £¬£¬£¬£¬£¬£¬¿É¼ûµä·¶EB£¨Æ¤·ôÅßÌ¥»ù£© HE¡Á40

         

5-3-4b ÐÂÉúÉÏÆ¤×éÖ¯Öпɼû΢Ѫ¹Ü£¬£¬ £¬£¬£¬£¬£¬£¬½ºÔ­ÏËάºÍÉÏÆ¤Ï¸°û(¸Éϸ°û)ÐÎ³ÉµÄÆ¤·ôÅßÌ¥»ù×éÖ¯  HE¡Á40

         

5-3-5 MEBT/MEBOÖÎÁÆ30Ì죬£¬ £¬£¬£¬£¬£¬£¬´´ÃæÆ¤·ôÔÙÉúÐÞ¸´ÓÅÒì

         

5-3-6 ÖÎÁÆ30ÌìºóµÄ´´ÃæÆä±íƤ×éÖ¯£¬£¬ £¬£¬£¬£¬£¬£¬ÕæÆ¤×éÖ¯½á¹¹ÒѳÊÐÄÀí״̬  HE¡Á20

(×éÖ¯»¯Ñ§ÊÈÒøÈ¾É«)

         

5-3-7 MEBT/MEBOÖÎÁÆ20Ì죬£¬ £¬£¬£¬£¬£¬£¬±íƤ»ùµ×²ã£¬£¬ £¬£¬£¬£¬£¬£¬»ùµ×ĤÔÙÉúÑÄÔ¾  HE¡Á20

         

5-3-8 ͬÉÏ£¬£¬ £¬£¬£¬£¬£¬£¬ÕæÆ¤²ãСѪ¹ÜÖÜÎ§Íø×´ÏËά³ÊÐþɫȾɫ  HE¡Á40

(ÃâÒß×éÖ¯»¯Ñ§È¾É«)

         

5-3-9 MEBT/MEBOÖÎÁÆ30Ì죬£¬ £¬£¬£¬£¬£¬£¬Ï¸°û½ÇÖÊËØAE3³ÊÑôÐÔ ¡£¡£¡£¡£¡£¡£ ¡£¡££¨ËµÃ÷»¼ÕßÉÕÉË´´ÃæÊÇ×ÔÎÒÔÙÉúÐÞ¸´£© HE¡Á20

         

5-3-10 ͬÉÏ  HE¡Á40

         

5-3-11 AE1Ⱦɫ ¡£¡£¡£¡£¡£¡£ ¡£¡£ÏÙÉÏÆ¤ÂѰ×ÒõÐÔ  HE¡Á20

µç¾µÊÓ²ì

         

5-3-12 ÉÕÉ˵±ÈÕ£¬£¬ £¬£¬£¬£¬£¬£¬µ¥ºËϸ°ûºËÆ«ÒÆ£¬£¬ £¬£¬£¬£¬£¬£¬¹ÌËõ£¬£¬ £¬£¬£¬£¬£¬£¬²¢ÓÐÍÌÊÉÕ÷Ïó  TE¡Á8000

         

5-3-13 MEBT/MEBOÖÎÁÆ5Ì죬£¬ £¬£¬£¬£¬£¬£¬³ÉÏËάϸ°ûÉú³¤»îÔ¾  TEM¡Á2000

         

5-3-14 MEBT/MEBOÖÎÁÆ20Ì죬£¬ £¬£¬£¬£¬£¬£¬4¸ö¼¬Ï¸°ûµÄÇÅÁ£ÅþÁ¬   TEM¡Á3500

         

5-3-15 ÇÅÁ£½á¹¹ TEM¡Á20000

         

5-3-16 ¿ÅÁ£Ï¸°û  TEM¡Á3500

         

5-3-17 »ùÄÚÇé°û²ã£¨ÐþÉ«ËØÐ¡Ì壩  TEM¡Á6000

         

5-3-18 ÍÌÊÉϸ°û»îÔ¾  TEM¡Á6000

         

5-3-19 MEBT/MEBOÖÎÁÆ20Ì죬£¬ £¬£¬£¬£¬£¬£¬Ê¾ÏËάĸϸ°û£¬£¬ £¬£¬£¬£¬£¬£¬¼°Óë»ùµ×Ĥ°ëÇÅÁ£ÅþÁ¬µÄÉÏÆ¤Ï¸°û TEM¡Á3000

         

5-3-20 ´ÖÃæÄÚÖÊÍø½á¹¹ºÍÏßÁ£ÌåÔöÉúÑÄÔ¾  TEM¡Á17000

         

5-3-21 ͬÉÏ  TEM¡Á20000

          

5-3-22 MEBT/MEBOÖÎÁÆ30Ì죬£¬ £¬£¬£¬£¬£¬£¬ÕûÆëÅÅÁеĽºÔ­ÏËά£¬£¬ £¬£¬£¬£¬£¬£¬ÏËάÔȳÆÒ»ÖÂÖ± ¾¶ 0.1¡«0.5µm£¬£¬ £¬£¬£¬£¬£¬£¬ÓÐÃ÷°µÏà¼äµÄÖÜÆÚÐÔºáÎÆ£¨64nm)

(ÏôĦ¡¢ÕÔ¿¡Ïé)
ÍøÕ¾µØÍ¼